The dark side of pulmonary alveolar proteinosis
Keywords:
Pulmonary Fibrosis, Pulmonary Alveolar Proteinosis, Alveolar surfactant, Lung Transplantation, pleuro-parenchymal fibroelastosisAbstract
Background: Pulmonary alveolar proteinosis (PAP) has an unpredictable clinical course. Although usually benign, an association with pulmonary fibrosis is described in literature, with troubling therapeutic and prognostic implications.
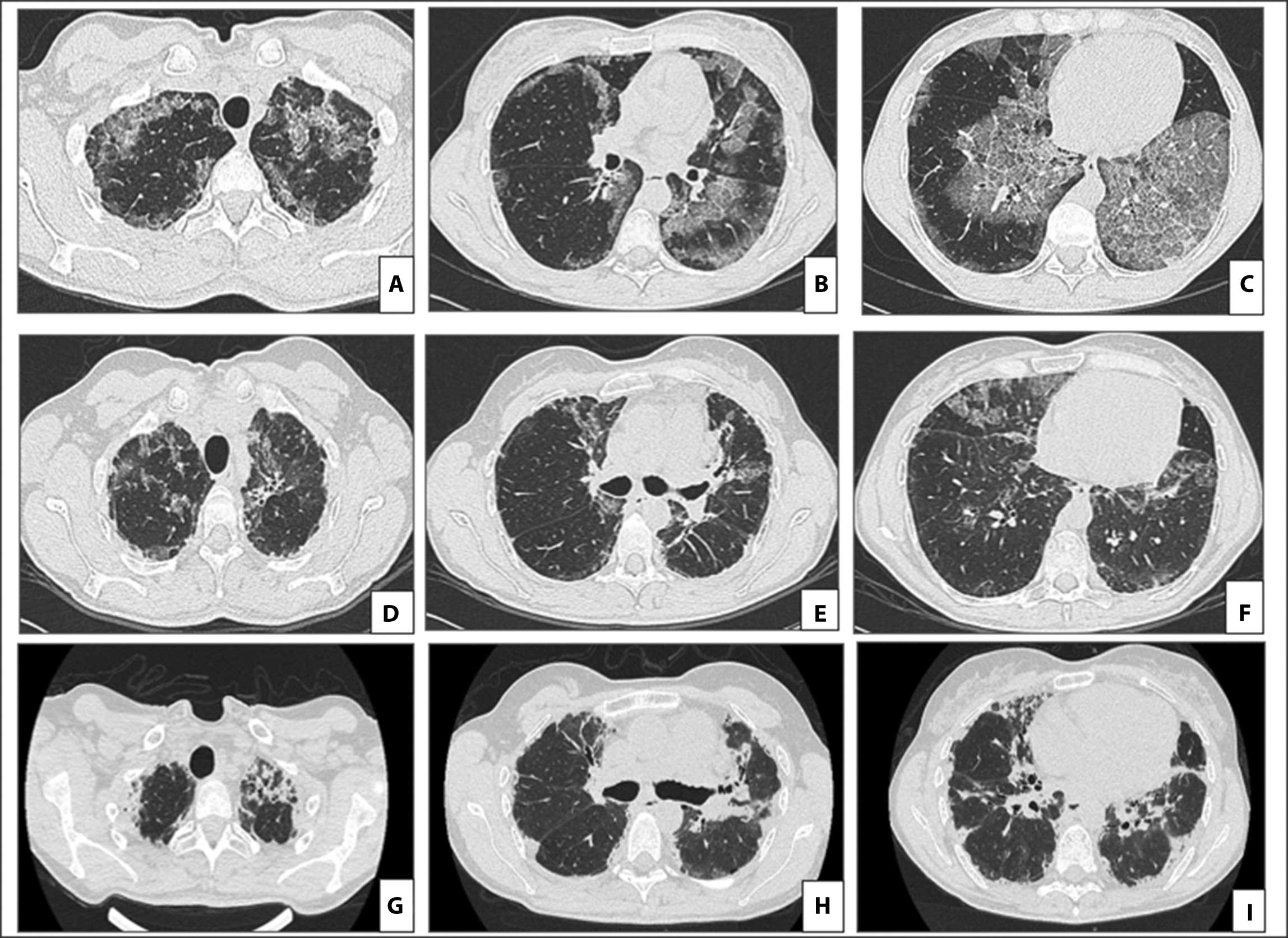
Clinical case: We report the case of a patient affected by autoimmune PAP who developed pleuro-parenchymal fibroelastosis (PPFE) after 6 years of disease and underwent bilateral lung transplantation due to end stage respiratory failure.
Conclusion: Punctual descriptions of pulmonary fibrosis in PAP are still lacking and no predictors of fibrotic evolution of PAP are known. It is necessary to ensure a strict follow up in order to promptly recognize signs of fibrotic evolution and early refer patients with evolutive disease to lung transplant center. Moreover, an extended genetic analysis by targeted next-generation sequencing could provide high-resolution information that may allow the identification of susceptible patients in a pre-fibrotic stage of disease.
References
1. Inoue Y, Trapnell BC, Tazawa R, Arai T, Takada T, Hizawa N, et al. Characteristics of a large cohort of patients with autoimmune pulmonary alveolar proteinosis in Japan. Am J Respir Crit Care Med 2008; 177:752-62.
2. McCarthy C, Bonella F, O’Callaghan M, Dupin C, Alfaro T, Fally M, et al. European Respiratory Society guidelines for the diagnosis and management of pulmonary alveolar proteinosis. Eur Respir J 2024;64(5):2400725.
3. Guirriec Y, Luque-Paz D, Bernard G, Mabo A, Kerjouan M, Ménard C, et al. Pulmonary fibrosis in patients with autoimmune pulmonary alveolar proteinosis: a retrospective nationwide cohort study. ERJ Open Res 2024;10(6):00314-2024.
4. Kanaoka K, Arai T, Takimoto T, Moda M, Shintani R, Ryuge M, et al. Pulmonary fibrosis in pulmonary alveolar proteinosis evaluated by transbronchial lung cryobiopsy: A single-center retrospective study. Respir Investig 2024;62(6):1161-67.
5. Papiris SA, Louvrier C, Fabre A, Kaklamanis L, Tsangaris I, Frantzeskaki F, et al. CSF2RB mutation-related hereditary pulmonary alveolar proteinosis: the “long and winding road” into adulthood. ERJ Open Res 2023;9(6):00703-2023.
6. McCarthy C, Lee E, Bridges JP, Sallese A, Suzuki T, Woods JC, et al. Statin as a novel pharmacotherapy of pulmonary alveolar proteinosis. Nat Commun 2018;9(1):3127.
7. Shi S, Gui X, Ding J, Yang S, Xin X, Xu K, et al. Assessment of Statin Treatment for Pulmonary Alveolar Proteinosis without Hypercholesterolemia: A 12-Month Prospective, Longitudinal, and Observational Study. Biomed Res Int 2022; 2022:1589660.
8. Shi S, Wang R, Chen L, Li Y, Zhang Y, Xin X, et al. Long-term follow-up and successful treatment of pulmonary alveolar proteinosis without hypercholesterolemia with statin therapy: a case report. J Int Med Res 2021;49(4):3000605211010046.
9. Johnson BA, Iacono AT, Zeevi A, McCurry KR, Duncan SR. Statin use is associated with improved function and survival of lung allografts. Am J Respir Crit Care Med 2003;167(9):1271-78.
10. Trapnell BC, Whitsett JA, Nakata K. Pulmonary alveolar proteinosis. N Engl J Med 2003;349(26):2527–39.
11. Frazier AA, Franks TJ, Cooke EO, Mohammed TL, Pugatch RD, Galvin JR. From the archives of the AFIP: pulmonary alveolar proteinosis. Radiographics 2008;28(3):883-99.
12. Hudson AR, Halprin GM, Miller JA, Kilburn KH. Pulmonary interstitial fibrosis following alveolar proteinosis. Chest 1974;65(6):700-02.
13. Chroneou A, Zias N, Tronic BS, Gonzalez AV, Beamis JF Jr. A case of uncomplicated pulmonary alveolar proteinosis evolving to pulmonary fibrosis. Monaldi Arch Chest Dis 2007;67(4):234-37.
14. Luisetti M, Trapnell BC: Pulmonary alveolar proteinosis. In Interstitial Lung Disease. Edited by Schwarz MI, King TE Jr, Shelton; People’s Medical Publishing House 2011;1079–93.
15. Agarwal PP, Seely JM, Perkins DG, Matzinger FR, Alikhan Q. Pulmonary alveolar proteinosis and end-stage pulmonary fibrosis: a rare association. J Thorac Imaging 2005;20(3):242-44.
16. Clague HW, Wallace AC, Morgan WK. Pulmonary interstitial fibrosis associated with alveolar proteinosis. Thorax 1983;38(11):865-66.
17. Arbiser ZK, Guidot DM, Pine JR, Giltman LI, Gal AA. Pulmonary alveolar proteinosis mimicking idiopathic pulmonary fibrosis. Ann Diagn Pathol 2003;7(2):82-86.
18. Akira M, Inoue Y, Arai T, Sugimoto C, Tokura S, Nakata K, et al. Pulmonary Fibrosis on High-Resolution CT of Patients With Pulmonary Alveolar Proteinosis. AJR Am J Roentgenol 2016 ;207(3):544-51.
19. Ono M, Saito R, Tominaga J, Okada Y, Ohkouchi S, Takemura T. Pathological features of explant lungs with fibrosis in autoimmune pulmonary alveolar proteinosis. Respirol Case Rep 2017;5(5):e00255.
20. Hunt AN, Malur A, Monfort T, Lagoudakis P, Mahajan S, Postle AD, et al. Hepatic Steatosis Accompanies Pulmonary Alveolar Proteinosis. Am J Respir Cell Mol Biol 2017;57(4):448-58.
21. Whitsett JA, Wert SE, Weaver TE. Alveolar surfactant homeostasis and the pathogenesis of pulmonary disease. Annu Rev Med 2010;61:105-19.
22. Bonella F, Long X, Ohshimo S, Horimasu Y, Griese M, Guzman J. MUC1 gene polymorphisms are associated with serum KL-6 levels and pulmonary dysfunction in pulmonary alveolar proteinosis. Orphanet J Rare Dis 2016; 11:48.
23. Nakano Y, Yang IV, Walts AD, Watson AM, Helling BA, Fletcher AA, et al. MUC5B Promoter Variant rs35705950 Affects MUC5B Expression in the Distal Airways in Idiopathic Pulmonary Fibrosis. Am J Respir Crit Care Med 2016;193(4):464-66.
24. Kadoya K, Togo S, Tulafu M, Namba Y, Iwai M, Watanabe J, et al. Specific features of fibrotic lung fibroblasts highly sensitive to fibrotic processes mediated via TGF-β-ERK5 interaction. Cell Physiol Biochem 2019;52: 822–37.
25. Zheng X, Qi C, Zhang S, Fang Y, Ning W. TGF-β1 induces Fstl1 via the Smad3-c-Jun pathway in lung fibroblasts. Am J Physiol Lung Cell Mol Physiol 2017; 313: L240–L251.
26. Kunzmann S, Wright JR, Steinhilber W, Kramer BW, Blaser K, Speer CP, et al. TGF-beta1 in SP-A preparations influence immune suppressive properties of SP-A on human CD4+ T lymphocytes. Am J Physiol Lung Cell Mol Physiol 2006;291(4):L747-756.
27. Van Moorsel CHM, van der Vis JJ, Grutters JC. Genetic disorders of the surfactant system: focus on adult disease. Eur Respir Rev 2021;30(159):200085.
28. Hu-Wang E, Chelala L, Landeras L, Li H, Husain AN, Strek ME, et al. Pulmonary Alveolar Proteinosis--associated Pulmonary Fibrosis: Evolutional Changes and Radiologic-Pathologic Correlation. Radiol Cardiothorac Imaging 2023;5(5):e230040.
29. Takaki M, Tanaka T, Komohara Y, Tsuchihashi Y, Mori D, Hayashi K, et al. Recurrence of pulmonary alveolar proteinosis after bilateral lung transplantation in a patient with a nonsense mutation in CSF2RB. Respir Med Case Rep 2016; 19:89-93.
30. Kumar A, Abdelmalak B, Inoue Y, Culver DA. Pulmonary alveolar proteinosis in adults: pathophysiology and clinical approach. Lancet Respir Med 2018; 6(7):554-65.
31. Beeckmans H, Ambrocio GPL, Bos S, et al. Allogeneic hematopoietic stem cell transplantation after prior lung transplantation for hereditary pulmonary alveolar proteinosis: a case report. Front Immunol 2022; 13:931153.
32. Hildebrandt J, Yalcin E, Bresser HG, et al. Characterization of CSF2RA mutation related juvenile pulmonary-alveolar proteinosis. Orphanet J Rare Dis 2014; 9:171.
33. Yousem SA. Alveolar lipoproteinosis in lung allograft recipients. Hum Pathol 1997; 28(12):1383-86.
34. Philippot Q, Cazes A, Borie R, Debray MP, Danel C, Hurtado Nedelec M, et al. Secondary pulmonary alveolar proteinosis after lung transplantation: a single-centre series. Eur Respir J 2017; 49(2):1601369.
35. Matos H, Maskey A, Keshavamurthy S, Miller J, Nandavaram S. Pulmonary alveolar proteinosis post lung transplantation: A causation conundrum. JHLT open 1, 100002.

Published
Issue
Section
License
Copyright (c) 2025 The Author(s)

This work is licensed under a Creative Commons Attribution-NonCommercial 4.0 International License.
Mattioli 1885 has chosen to apply the Creative Commons Attribution NonCommercial 4.0 International License (CC BY-NC 4.0) to all manuscripts to be published.